Nervenschmerzen im Zahn sind meist unerträglich und weisen auf eine Infektion des sogenannten Pulpagewebes hin, des „Nervs“ im Inneren des Zahnes. Nach wie vor herrscht in der Bevölkerung die weitverbreitete Meinung, dass Milchzähne nicht so wichtig sind und erst den bleibenden Zähnen die entsprechende Aufmerksamkeit bei Pflege und Behandlung zukommen muss. Eine Wurzelbehandlung, die bei bleibenden Zähnen im Sinne des Zahnerhalts zu den Routine-Eingriffen zählt, ist bei Milchzähnen daher eher die Ausnahme.
Zum richtigen Kauen, Sprechenlernen, zur Vorbeugung späterer Zahnfehlstellungen und nicht zuletzt für ein unbeschwertes Lachen sollten die Milchzähne so lange wie möglich erhalten werden. Wie weit eine Behandlung im Ernstfall jedoch gehen sollte, bevor der Zahn gezogen werden muss, ist nicht so einfach zu beantworten. Obwohl das Nervengewebe im Zahninneren beim Milchzahn deutlich größer ist und schon kleine Defekte im Zahnschmelz den Nerv infizieren können, muss Sinn und Zweck einer endodontischen Behandlung bei Kindern sehr genau abgewogen werden. Grundsätzlich ist eine Wurzelbehandlung - zumindest bis zu zwei Jahren vor dem natürlichen Zahnwechsel - sinnvoll, solange die Prognose für den Zahnerhalt positiv zu bewerten ist. Besonderes Augenmerk muss dabei aber auf den Schutz des bleibenden Zahns gelegt werden. Bei aufwendigen und besonders tief gehenden Wurzelkanalbehandlungen darf der Zahnkeim nicht in Mitleidenschaft gezogen werden.

Diagnostik bei Zahnnervenentzündung
Bevor eine Wurzelbehandlung in Erwägung gezogen wird, ist eine genaue Diagnose unerlässlich. Verschiedene Tests helfen dabei, die Vitalität des Zahnes und den Zustand des Pulpagewebes zu beurteilen.
Klopf- oder Perkussionstest
Ein vorsichtiges Klopfen mit einem Instrument auf den fraglichen Zahn kann erste Hinweise über dessen Vitalität geben. Ist der Zahn devital (tot), spürt der Patient häufig ein unangenehmes Gefühl oder einen leichten Schmerz. Dieser Test kann auch als Aufbisstest mit einer kleinen Watterolle durchgeführt werden, auf die der Patient mit dem Zahn beisst.
Vitalitätstest
Beim Kältetest wird der Zahn mit CO2-Schnee (Temperatur -78°C) auf Sensibilität getestet. Bei vitaler Pulpa verspürt man normalerweise einen starken Kältereiz. Im Zweifelsfall kann auch ein elektrischer Pulpatester hilfreich sein, der Strom abgibt und bei vitaler Pulpa ein Kribbeln im Zahn auslöst.
Diese Vitalitätstests sind nicht immer zuverlässig und erlauben bisweilen keine endgültige Aussage über die Vitalität eines Zahnes. In mehrwurzligen Zähnen kann zum Beispiel die Pulpa einer Wurzel bereits abgestorben sein, während die anderen Wurzeln noch vital und sensibel sind. Manchmal reagiert auch ein vitaler Zahn nicht auf den Test, weil sich die Pulpa stark zurückgebildet und durch Bildung von Hartgewebe „eingemauert“ hat. Auch eine Krone aus Keramik kann die Beurteilung der Vitalität erschweren.

Röntgenaufnahmen
Röntgenbilder sind entscheidend, um den Zustand des Knochens um die Wurzelspitze zu beurteilen und Entzündungen (wie Granulome oder apikale Ostitis) zu erkennen. Sie zeigen auch, ob eine Wurzelbehandlung dringend notwendig ist, um grösseren Schaden wie z.B. eine Fistel oder Eiterbeule (Abszess) zu verhindern. In komplexen Fällen, wenn normale Röntgenaufnahmen unauffällig sind, kann eine 3D-Volumentomographie (DVT) notwendig sein, um versteckte Entzündungsherde oder nicht gefüllte Wurzelkanäle aufzudecken.
Ablauf einer Wurzelbehandlung
Eine Wurzelbehandlung (endodontische Behandlung) ist ein mehrstufiger Prozess, der darauf abzielt, das infizierte oder entzündete Pulpagewebe zu entfernen und den Zahn zu erhalten.
-
Betäubung
Der zu behandelnde Zahn wird mittels Lokalanästhesie örtlich betäubt, wenn der Nerv noch vital ist (lebender Zahn). Bei korrekter Betäubung ist eine Wurzelbehandlung absolut schmerzlos. Bei devitalen (toten) Zähnen kann man oft auch auf die Anästhesie verzichten. Ängstlichen Patienten bieten wir zur Entspannung zusätzlich eine Lachgas-Sedierung an.
-
Isolierung
Eine dünne, gelochte Gummi-Folie (Spanngummi, Kofferdam) wird über den Zahn gezogen und mit Klammern befestigt. Dadurch wird der Zahn von der Mundhöhle isoliert und der Zutritt von Speichel und Bakterien aus dem Mund verhindert. Gleichzeitig verhindert das Spanngummi, dass während der Wurzelbehandlung die nadelförmigen Wurzelkanalinstrumente unbeabsichtigt in den Mund fallen können (Gefahr des Verschluckens oder Einatmens).
-
Aufbohren des Zahnes (Trepanation)
Der Zahn wird nun von oben (Kaufläche) bzw. hinten (Schneide- und Eckzähne) aufgebohrt (trepaniert), um die Pulpahöhle zu eröffnen und freien Zugang zu den Wurzelkanälen herzustellen. Die Eingänge der Wurzelkanäle am Boden der Pulpenhöhle werden nun aufgesucht, wobei eine optische Vergrösserung (Lupenbrille oder Mikroskop) äusserst wichtig ist.
-
Darstellung der Kanaleingänge - Arbeiten mit dem Mikroskop
Wurzelbehandlungen erfordern hochpräzises Arbeiten mit feinsten, fragilen Instrumenten in einem schlecht einsehbaren, oft nur Bruchteile eines Millimeters umfassenden, dunklen Raum. Gute Sicht ist hier entscheidend für den Behandlungserfolg. Deswegen setzen immer mehr Endodontie-Spezialisten bei Wurzelbehandlungen auf das Mikroskop. Durch die Vergrösserung und perfekte Ausleuchtung des Arbeitsfeldes können anatomische Strukturen und Probleme sichtbar gemacht werden, die ansonsten oft übersehen werden:
- Zusätzliche Wurzelkanäle: Viele Misserfolge bei Wurzelbehandlungen beruhen darauf, dass nicht alle Wurzelkanäle gefunden und gefüllt werden. Unbehandelte Wurzelkanäle können dann zu chronischen Entzündungen und Schmerzen führen.
- Zahn-Risse: Chronische Zahnschmerzen können manchmal auch von Mikro-Rissen im Zahn verursacht werden. Bleibt ein solcher Zahn-Riss unentdeckt, können die Schmerzen trotz scheinbar erfolgreicher Wurzelbehandlung weiter bestehen.
- Abgebrochene Wurzelkanal-Instrumente: Die sehr dünnen, fragilen Feilen, mit denen die Wurzelkanäle aufbereitet und erweitert werden, können gelegentlich im Kanal abbrechen, vor allem, wenn dieser stark gekrümmt ist.
- Perforationen: Eine andere mögliche Komplikation bei Wurzelbehandlungen ist die Perforation. Dabei kommt es während der Freilegung oder Erweiterung der Wurzelkanäle zum Durchstossen der Zahnwand nach aussen.
Das Mikroskop leistet wertvolle Hilfe bei der Diagnose von Zahn-Mikrorissen, der Entfernung von abgebrochenen Instrumenten und dem Verschluss von Perforationen.

-
Längenmessung
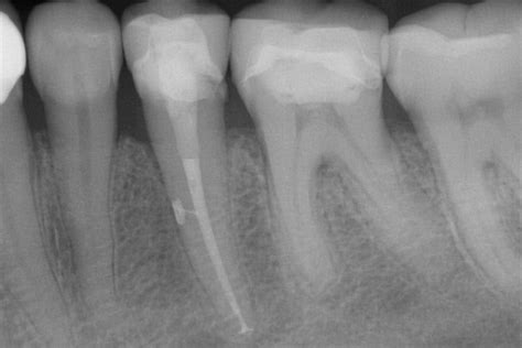
Vor der eigentlichen Aufbereitung der Wurzelkanäle muss deren Länge festgestellt werden. Nur so ist es möglich, den Kanal genau bis zur Wurzelspitze (Apex) aufzubereiten. Eine genaue Messung (Endometrie) erfolgt dann mit dem elektronischen Längenmessgerät, das beim Einführen des Wurzelkanalinstruments die exakte Entfernung zur Wurzelspitze (Apex) angibt. In Zweifelsfällen kann zusätzlich eine Röntgen-Messaufnahme mit Darstellung der zuvor eingeführten Kanalfeilen sinnvoll sein.

-
Aufbereitung der Wurzelkanäle
Mit einer Serie von speziellen, aufeinander abgestimmten nadelförmigen Instrumenten werden die Wurzelkanäle jetzt schonend erweitert. Zusätzlich zu den feilenartigen Handinstrumenten kommen heute hochelastische rotierende Wurzelkanalinstrumente zum Einsatz. Sie bestehen meist aus einer Nickel-Titan-Legierung (Ni-Ti) und sind in der Lage, auch gekrümmten Wurzelkanälen sicher bis zur Spitze zu folgen. Der Antrieb erfolgt durch einen elektronisch gesteuerten Mikromotor mit genau definiertem Drehmoment, damit die grazilen Feilen nicht im Kanal abbrechen. Um das Risiko eines Bruchs (Fraktur) der Kanalinstrumente weiter zu minimieren, werden diese oft als Einmalinstrumente benutzt.

-
Reinigung und Desinfektion des Wurzelkanals
Nach jedem Instrument wird der Kanal mit einer desinfizierenden Flüssigkeit (Natriumhypochlorid) gespült. Am Ende der Aufbereitung erfolgt die Trocknung des Kanals mit sterilen Papierspitzen.
-
Medikation des Kanals (optional)
Dieser Zwischenschritt ist nur erforderlich, wenn der Wurzelkanal infiziert war und / oder der behandelte Zahn Schmerzen verursachte. In diesem Fall wird zunächst eine desinfizierende Paste in den Wurzelkanal appliziert und der Zahn mit einer provisorischen Füllung verschlossen. Die Wurzelfüllung erfolgt einige Tage später.
-
Füllung der Wurzelkanäle
Die gereinigten, desinfizierten und getrockneten Wurzelkanäle werden nun bis zur Wurzelspitze möglichst dicht mit einer Wurzelfüllung verschlossen. Dazu wird ein dickflüssiger Zement (Sealer) und Stifte aus Guttapercha in den Kanal eingeführt. Die Guttapercha kann auch mit speziellen Instrumenten (Plugger) komprimiert werden (Kondensation) oder durch Hitze erweicht werden (thermoplastische Wurzelfüllung) um auch die Verästelungen der Wurzelkanäle (sogenannte Seitenkanäle) bestmöglich abzudichten.
-
Verschluss des Zahnes und Röntgenbild
Nach der Wurzelfüllung wird der Zahn von oben mit einer Kunststoff-Füllung (Komposit) bakteriendicht verschlossen. Der hermetische Verschluss ist sehr wichtig, da der Wurzelkanal ansonsten wieder durch Bakterien aus der Mundhöhle besiedelt wird. Eine Röntgen-Kontrollaufnahme dokumentiert am Ende die durchgeführte Wurzelfüllung.

Wurzelbehandlung - Ablauf, Dauer, Termine, wie läuft sowas ab?
Mögliche Komplikationen und Nachsorge
Obwohl moderne Techniken die Erfolgsrate von Wurzelbehandlungen deutlich erhöht haben, können Komplikationen auftreten.
Überfüllung der Wurzelkanäle
Die Wurzelkanäle werden über die Wurzelspitze hinaus aufbereitet oder gefüllt (Überfüllung). Dabei gelangt Zement (Sealer) oder Guttapercha in den Knochen und kann dort Probleme wie akute oder chronische Fremdkörper-Entzündungen auslösen. Besonders kritisch ist es, wenn Wurzelfüllmaterial in die Kieferhöhle oder den Nervkanal im Unterkiefer gelangt. Manchmal ist eine chirurgische Entfernung der Wurzelspitze (Wurzelspitzenresektion) erforderlich, um den Fremdkörper zu entfernen.
Stärkung des wurzelbehandelten Zahnes
Der wurzelbehandelte Zahn wird zunächst mit einer dicht abschliessenden Aufbau-Füllung versorgt, damit keine Bakterien eindringen können. Nach der Wurzelbehandlung ist der Zahn mechanisch geschwächt und es besteht vor allem bei den hinteren Zähnen das Risiko, dass sie bei Belastung früher oder später abbrechen (frakturieren). Daher werden wurzelbehandelte Seitenzähne (Prämolaren und Molaren) oft mit einer Krone versorgt, um sie vor Frakturen zu schützen.
Stiftaufbau bei stark zerstörten Zähnen
Wenn der wurzelbehandelte Zahn durch Karies stark zerstört ist, muss er manchmal mit einem Stiftaufbau stabilisiert werden. Dazu wird ein Wurzelstift aus Glasfaser, Metall oder Zirkon-Keramik in den Wurzelkanal geklebt (zementiert). Der Stumpf wird dann mit Komposit aufgebaut und mit einer Krone versorgt. Man spricht in solchen Fällen auch von Stiftzahn oder Stiftkrone. Ein Stiftzahn kommt heute nicht mehr so oft zum Einsatz, da Wurzelstifte auch Risse oder Frakturen der Zahnwurzel verursachen können.
tags: #wurzelbehandlung #milchzahn #erwachsene