Die Sorge vor vorzeitigen Wehen und einer Verkürzung des Gebärmutterhalses ist in der Schwangerschaft weit verbreitet. Viele Frauen suchen nach Wegen, um diese Risiken zu minimieren und eine gesunde Schwangerschaft bis zum errechneten Geburtstermin zu gewährleisten. Ein wichtiger Aspekt in diesem Zusammenhang ist die Rolle von Magnesium, das oft zur Linderung von Krämpfen und zur Beruhigung der Gebärmutter eingesetzt wird.
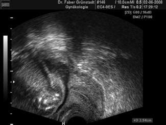
Verkürzter Gebärmutterhals: Ein Warnsignal?
Eine Verkürzung des Gebärmutterhalses (Zervixverkürzung) kann ein frühes Anzeichen für vorzeitige Wehen sein. Die Länge des Gebärmutterhalses wird regelmäßig während der Schwangerschaft kontrolliert, insbesondere wenn Risikofaktoren vorliegen. Messungen wie von 4,9 cm in der 8. SSW, die sich über die Wochen auf 4,4 cm (12. SSW), 3,9 cm (20. SSW) und schließlich 3,2 cm verringert, erfordern eine engmaschige Beobachtung.
Es ist wichtig zu betonen, dass ein Gebärmutterhals von 3,2 cm in der 20. SSW von Ärzten oft noch als nicht dramatisch eingestuft wird, jedoch eine engmaschige Kontrolle und präventive Maßnahmen erfordert. Die Angst, dass sich die Verkürzung fortsetzt, ist verständlich, besonders wenn das Ziel ist, die kritischen Phasen der Schwangerschaft, wie beispielsweise die 33. oder 30. Woche, zu erreichen, ab denen das Kind als deutlich über den Berg gilt.

Was Frauen tun können: Tipps und Erfahrungen
In vielen Foren und Gesprächen teilen Schwangere ihre Erfahrungen und geben sich gegenseitig Tipps. Ein häufig genannter und als besonders wirksam empfundener Ratschlag ist viel Liegen und körperliche Schonung. Dies beinhaltet:
- Vermeiden von schwerem Heben
- Keinen Druck auf den Beckenboden ausüben
- Das Becken leicht höher lagern
Einige Frauen berichten von Erfolgen, bei denen sich der Gebärmutterhals trotz anfänglicher Verkürzung stabilisierte oder sogar wieder verlängerte. So wurde von einer Verbesserung von 2,6 cm auf 4,4 cm berichtet, was als sehr positiv gewertet wird.
Die Rolle von Magnesium
Magnesium wird in der Schwangerschaft häufig zur Vorbeugung und Behandlung von Wadenkrämpfen und vorzeitigen Wehen eingesetzt. Die Dosierung variiert dabei stark, von 3x200mg bis hin zu 3x400mg Magnesium über den Tag verteilt. Manche Frauen vertragen höhere Dosen besser als andere, und es wird empfohlen, die Einnahme mit dem behandelnden Arzt oder der Hebamme abzusprechen, da Nebenwirkungen wie Durchfall auftreten können.
Die Wirksamkeit von Magnesium bei der Reduzierung vorzeitiger Wehen wird in der medizinischen Fachwelt diskutiert. Studien deuten darauf hin, dass Magnesium die Gebärmutter beruhigen und Kontraktionen abschwächen kann. In einer Pilotuntersuchung in Marburg zeigte sich, dass die zusätzliche orale Gabe von Magnesium bei Patientinnen, die mit Betamimetika behandelt wurden, eine schnellere Beendigung der Tokolyse ermöglichte. Eine weitere Studie aus Zürich konnte zeigen, dass in der Magnesium-Gruppe weniger Cerclagen und Abortus-imminens-Fälle auftraten und weniger Kinder verlegt werden mussten.

Wissenschaftliche Erkenntnisse und Expertenmeinungen
Die wissenschaftliche Datenlage zur Wirksamkeit von Magnesium und strikter Bettruhe ist nicht immer eindeutig. Während einige Studien positive Effekte nahelegen, betonen andere, dass die Evidenz für die alleinige Wirksamkeit von Bettruhe begrenzt ist und körperliche Schonung oft ausreicht. Dennoch wird Magnesium als krampflösendes Mittel zur Beruhigung der Gebärmutter angesehen.
Experten weisen darauf hin, dass die Entscheidung für oder gegen bestimmte Maßnahmen, wie z.B. Magnesium in hoher Dosierung oder Infusionen, sorgfältig abgewogen werden muss. Bakterielle Infektionen im Vaginalbereich können ebenfalls eine Rolle spielen und sollten ausgeschlossen werden. Die Messung des vaginalen pH-Wertes kann hier erste Hinweise geben.
Weitere unterstützende Maßnahmen
Neben Magnesium und Schonung gibt es weitere Mittel, die unterstützend eingesetzt werden können:
- Utrogest (Progesteron): Dieses Hormon kann die Schwangerschaft stabilisieren und wird vaginal verabreicht. Studien zeigen, dass es das Risiko einer Frühgeburt senken kann.
- Bryophyllum: Dieses pflanzliche Mittel wird von einigen Hebammen zur Entspannung der Gebärmutter empfohlen. Es ist jedoch ratsam, die Anwendung mit dem Arzt oder der Hebamme abzusprechen, da es auch als muttermundserweichend gelten kann.
- Stützstrümpfe: Bei erhöhtem Thromboserisiko, das durch lange Liegeperioden entstehen kann, können Stützstrümpfe sinnvoll sein.
Wichtig oder nicht? Magnesium in der Schwangerschaft
Umgang mit vorzeitigen Wehen und Unsicherheiten
Das Auftreten von vorzeitigen Wehen und einer Verkürzung des Gebärmutterhalses kann für Schwangere sehr beunruhigend sein. Es ist wichtig, auf den eigenen Körper zu hören und bei Unsicherheiten oder Beschwerden umgehend ärztlichen Rat einzuholen. Eine gute Kommunikation zwischen Arzt und Schwangerer ist entscheidend, um Ängste abzubauen und gemeinsam die besten Entscheidungen für die Schwangerschaft zu treffen.
Obwohl strikte Bettruhe nicht immer als die effektivste Maßnahme gilt, kann sie in bestimmten Fällen angeordnet werden, insbesondere wenn sie von Ärzten und der Krankenkasse verordnet wird (z.B. durch die Genehmigung einer Haushaltshilfe). Die Angst vor Thrombosen bei Bettruhe ist real, kann aber durch Maßnahmen wie Bettgymnastik und Stützstrümpfe reduziert werden. Die Priorität liegt hier oft darin, das Kind zu schützen.
Viele Frauen berichten, dass es möglich ist, trotz vorzeitiger Wehen und eines verkürzten Gebärmutterhalses das Ende der Schwangerschaft zu erreichen. Geduld, Ruhe und die richtige medizinische Begleitung sind hierbei Schlüsselfaktoren. Selbst wenn es bedeutet, den Großteil der restlichen Schwangerschaft liegend zu verbringen, ist das Ziel, das Kind sicher zur Welt zu bringen, für viele die Motivation.

Es ist wichtig zu verstehen, dass jede Schwangerschaft individuell verläuft. Leichte Kontraktionen und Verhärtungen des Bauches ab dem 5./6. Schwangerschaftsmonat können normal sein und müssen nicht zwangsläufig vorzeitige Wehen bedeuten, die den Muttermund beeinflussen. Ein Cardiotokogramm (CTG) kann helfen, die Wehentätigkeit aufzuzeichnen und zu beurteilen.
Bei der Unterscheidung zwischen normalen Übungswehen und potenziellen Frühwehen kann es hilfreich sein, auf die Intensität und Regelmäßigkeit der Kontraktionen zu achten. Wenn die Schmerzen oder Verhärtungen unerträglich werden oder sich der Muttermund verändert, ist eine sofortige ärztliche Abklärung unerlässlich.
tags: #vorzeitige #wehen #verkurzter #gebarmutterhals #magnesium