Ein Druckgefühl am Muttermund, insbesondere in der 16. Schwangerschaftswoche (SSW), kann beunruhigend sein. In dieser Phase der Schwangerschaft durchläuft der Körper bedeutende Veränderungen, die zu verschiedenen Empfindungen führen können. Dieser Artikel beleuchtet mögliche Ursachen, Diagnosemethoden und Behandlungsmöglichkeiten, um Ihnen mehr Klarheit und Sicherheit zu verschaffen.
Mögliche Ursachen für Druckgefühl am Muttermund
Das Gefühl von Druck oder Stechen im Bereich des Muttermunds kann verschiedene Ursachen haben, die oft mit dem fortschreitenden Wachstum der Gebärmutter und den damit verbundenen Anpassungen im Körper zusammenhängen.
Wachstum der Gebärmutter und Dehnung der Bänder
Mit fortschreitender Schwangerschaft wächst die Gebärmutter erheblich, um Platz für das heranwachsende Baby zu schaffen. Diese Vergrößerung kann zu einem ziehenden oder stechenden Gefühl im Unterleib führen. Die Mutterbänder, die die Gebärmutter stützen, dehnen sich ebenfalls, was zu Schmerzen und einem Druckgefühl führen kann, insbesondere bei plötzlichen Bewegungen, Niesen oder Bücken. Diese sogenannten Mutterband-Schmerzen sind in der Regel harmlos und verschwinden oft von selbst.
Druck durch das Baby
Im weiteren Verlauf der Schwangerschaft kann das Baby durch seine Position und Bewegungen Druck auf den Muttermund ausüben. Dies kann sich als ein spürbarer Druck nach unten manifestieren, der besonders beunruhigend sein kann, wenn er ungewohnt stark ist oder in früheren Schwangerschaften nicht aufgetreten ist.
Infektionen und Entzündungen
Eine leichte Blasenentzündung, wie sie im frühen Stadium der Schwangerschaft auftreten kann, kann ebenfalls zu einem unangenehmen Gefühl im Unterleib und im Bereich des Muttermunds führen. Auch wenn die messbaren Symptome der Infektion verschwinden, kann das Gefühl von Druck oder Brennen noch einige Zeit anhalten. Infektionen der Scheide oder des Gebärmutterhalses können ebenfalls ein Risiko darstellen.
Zervixinsuffizienz (Muttermundschwäche)
Eine Zervixinsuffizienz, auch Muttermundschwäche genannt, ist eine Schwäche des Gebärmutterhalses, die zu einer vorzeitigen Öffnung des Muttermunds führen kann. Dies tritt häufig zwischen dem 4. und 6. Schwangerschaftsmonat auf. Ein verkürzter und weicher Gebärmutterhals kann die wachsende Gebärmutter und das Kind nicht mehr ausreichend halten, was das Risiko einer Fehl- oder Frühgeburt erhöht. Zervixinsuffizienz verursacht oft keine eindeutigen Symptome, manchmal berichten Frauen jedoch von menstruationsähnlichen Schmerzen, einem Ziehen im Unterbauch oder einem Druckgefühl.
Ursachen und Risikofaktoren der Zervixinsuffizienz
- Unklare Ursachen in vielen Fällen.
- Infektionen der Scheide oder des Gebärmutterhalses.
- Vorangegangene Operationen am Muttermund (z.B. Konisation).
- Mehrlingsschwangerschaften, die zu erhöhtem Druck auf die Gebärmutter führen.
- Vorangegangene späte Fehlgeburten oder Frühgeburten.
- Rauchen, Übergewicht, starker körperlicher oder seelischer Stress.
Andere Ursachen
Gelegentlich können auch andere Faktoren wie eine tiefer liegende Plazenta, eine Krampfader im Bereich der Leisten oder einfach die allgemeine Empfindlichkeit des Körpers während der Schwangerschaft zu diesen Empfindungen beitragen.
Diagnose und Untersuchung
Bei anhaltendem oder starkem Druckgefühl am Muttermund ist es ratsam, ärztlichen Rat einzuholen. Die Diagnose umfasst in der Regel:
- Anamnese: Erhebung der Krankengeschichte, insbesondere bezüglich früherer Schwangerschaften, Fehl- oder Frühgeburten.
- Gynäkologische Untersuchung: Eine Tastuntersuchung kann erste Hinweise geben.
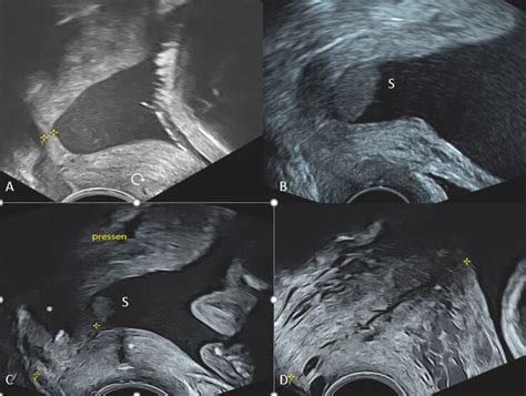
- Ultraschalluntersuchung: Die transvaginale Ultraschalluntersuchung ist die zuverlässigste Methode zur Bestimmung der Länge des Gebärmutterhalses (Zervixlänge) und zur Beurteilung des Muttermunds. Eine Verkürzung kann auf eine Zervixinsuffizienz hindeuten.
- Urinuntersuchung: Zum Ausschluss von Blasenentzündungen oder Harnwegsinfektionen.
- Vaginaler Abstrich: Zur Identifizierung von Infektionen der Scheide oder des Gebärmutterhalses.
Die Messung der Zervixlänge ist entscheidend. Eine Zervixlänge von weniger als 25 mm wird als verkürzt betrachtet und birgt ein erhöhtes Frühgeburtsrisiko.

Behandlungsmöglichkeiten
Die Behandlung richtet sich nach der Ursache und dem Schweregrad der Beschwerden. Bei einem Druckgefühl am Muttermund können folgende Maßnahmen ergriffen werden:
Bei Infektionen
Bei einer Blasenentzündung oder anderen Infektionen werden in der Regel Medikamente verschrieben, oft auch homöopathische Mittel. Ausreichendes Trinken ist ebenfalls wichtig.
Bei Zervixinsuffizienz
Wenn eine Zervixinsuffizienz diagnostiziert wird, sind die Behandlungsoptionen:
- Körperliche Entlastung: Bettruhe wird nicht mehr routinemäßig empfohlen, da sie Risiken wie Thrombose erhöhen kann. Leichte Schonung und Vermeidung von körperlicher Anstrengung sind jedoch ratsam.
- Progesteron-Therapie: Die Gabe von Progesteron (einem weiblichen Sexualhormon) kann helfen, die Schwangerschaft zu erhalten und das Risiko einer Frühgeburt zu senken.
- Cerclage (Muttermundverschluss): Ein chirurgischer Eingriff, bei dem der Muttermund mit einem Kunststoffband eng genäht wird, um ihn zu stützen. Dies wird meist nur in bestimmten Fällen und bei Einlingsschwangerschaften empfohlen.
- Cerclage-Pessar: Eine neuere, nicht-operative Methode, bei der ein Silikonring den Gebärmutterhals stützt.
- Tokolyse (Wehenhemmung): Medikamente zur Hemmung von vorzeitigen Wehen, falls diese auftreten.
Allgemeine Empfehlungen
Unabhängig von der genauen Ursache können folgende allgemeine Empfehlungen hilfreich sein:
- Vermeiden Sie körperliche Anstrengung, schweres Heben und langes Stehen.
- Verzichten Sie auf Nikotin.
- Achten Sie auf eine ausgewogene Ernährung und ausreichend Flüssigkeitszufuhr.
- Bei Unsicherheit oder starker Beunruhigung suchen Sie frühzeitig ärztlichen Rat, auch wenn der nächste Termin noch nicht ansteht.
Das 1. Trimester der Schwangerschaft – Das hätte ich gerne vorher gewusst
Das Gefühl von Druck am Muttermund in der 16. SSW kann beunruhigend sein, aber oft handelt es sich um harmlose Anpassungsprozesse des Körpers. Eine genaue ärztliche Abklärung ist jedoch unerlässlich, um mögliche Risiken wie eine Zervixinsuffizienz frühzeitig zu erkennen und zu behandeln.
tags: #klopfendes #gefuhl #am #muttermund #16ssw