Die Fruchtbarkeit einer Frau ist eng mit dem komplexen Zusammenspiel hormoneller Signale und anatomischer Strukturen im Eierstockzyklus verbunden. Eine dieser entscheidenden Strukturen ist der Ovarialfollikel, der eine zentrale Rolle bei der Reifung und Freisetzung einer Eizelle spielt. Das Verständnis der Entwicklung und Größe von Follikeln, insbesondere eines 23 mm großen Follikels, ist für die Bestimmung des Zeitpunkts des Eisprungs und die allgemeine Beurteilung der reproduktiven Gesundheit von großer Bedeutung.
Was sind Ovarialfollikel?
Ovarialfollikel sind keine Oozyten (Eizellen) selbst. Die Oozyte ist der weibliche Gamet, ähnlich dem Spermium beim Mann. Der Follikel hingegen ist eine anatomisch-funktionale Einheit des Eierstocks, die die Oozyte umgibt und beherbergt. Im Laufe des Eierstockzyklus reift die Oozyte in einem mikroskopischen Teil der Innenwand eines Follikels, entweder spontan oder durch Stimulation.
Die Ausstattung der Oozyten wird bereits in den ersten Lebenswochen des weiblichen Embryos festgelegt. Ab der Menarche (der ersten Menstruation) wird in jedem Zyklus eine Oozyte zur Reifung ausgewählt. Dabei werden tendenziell Oozyten von besserer Qualität zuerst ausgewählt, was bedeutet, dass die Oozyten der nachfolgenden Zyklen möglicherweise von geringerer Qualität sind.
Ein Follikel besteht aus mehreren Komponenten:
- Die unreife Eizelle, die von einer äußeren Schicht, der sogenannten „Glashaut“, umgeben ist.
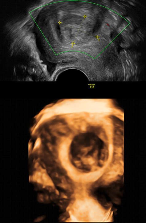
- Ein mit Flüssigkeit gefüllter Hohlraum, der den Teil darstellt, der bei einer Ultraschalluntersuchung sichtbar ist.
- Eine Reihe von konzentrischen Schichten, die den Hohlraum umgeben: die Granulosezellen und weitere Zellen, die als innere und äußere Thekazellen bezeichnet werden.
Der Eierstockzyklus und die Follikelreifung
Der weibliche Eierstockzyklus lässt sich grob in drei Hauptphasen unterteilen:
- Follikelphase: Diese Phase ist durch die Follikelreifung gekennzeichnet.
- Ovulation: Der Eisprung, bei dem die reife Eizelle aus dem Follikel freigesetzt wird.
- Gelbkörperphase: Nach der Ovulation entwickelt sich der verbliebene Follikel zum Gelbkörper.
Bedeutung der Follikelzählung und Ovarialreserve
Für die Beurteilung der weiblichen Fruchtbarkeit ist es essenziell, die ovarielle Reserve zu kennen. Die Follikelzählung, die zu Beginn des Zyklus (zwischen dem 2. und 5. Tag) mittels Vaginalsonografie durchgeführt wird, liefert die genaueste Schätzung dieser Reserve. Die dabei beobachteten Follikel werden als Antralfollikel bezeichnet.
Die Anzahl der Antralfollikel gibt Aufschluss über die ovarielle Reserve:
- Angemessene oder normale ovarielle Reserve: 6 bis 10 Antralfollikel pro Eierstock.
- Niedrige ovarielle Reserve: Weniger als 6 Antralfollikel.
- Hohe ovarielle Reserve: Mehr als 12 Antralfollikel.

Frauen mit einer niedrigen ovariellen Reserve haben ein höheres Risiko, auf eine Kinderwunschbehandlung nicht anzusprechen. Umgekehrt besteht bei Frauen mit einer hohen Reserve die Gefahr einer übermäßigen Reaktion auf Stimulationstherapien.
Der dominante Follikel und die Ovulation
Im Rahmen eines natürlichen Zyklus wird aus den Antralfollikeln ein Follikel ausgewählt, der als dominanter Follikel bezeichnet wird. Dieser zeichnet sich durch seine Größe und sein schnelles Wachstum aus. Die anderen Follikel werden atretisch, das heißt, sie sterben ab und verschwinden.
Bevor die Ovulation stattfindet, erreicht der dominante Follikel typischerweise einen mittleren Durchmesser von 22 bis 24 mm (mit einer Bandbreite von 18 bis 36 mm).
Follikelwachstum im stimulierten Zyklus
Bei einem stimulierten Zyklus (durch Hormonbehandlung) wachsen in der Regel alle oder fast alle Antralfollikel. Um die Ovulation auszulösen, wird bei Erreichen einer Größe von etwa 18 mm ein hCG-Hormon (z.B. Ovitrelle®) verabreicht. Die Entnahme der Eizellen erfolgt dann etwa 36 Stunden nach der Hormongabe.
Das Leere-Follikel-Syndrom
In einem sehr geringen Prozentsatz der Fälle kann das Leere-Follikel-Syndrom auftreten. Dies ist gekennzeichnet durch das Ausbleiben der Eizellgewinnung nach ovarieller Stimulation bei einer In-vitro-Fertilisationsbehandlung (IVF), obwohl Follikelwachstum und Östradiolspiegel angemessen erscheinen. Die genaue Ursache ist unbekannt, und verschiedene Faktoren werden diskutiert, darunter Fehler bei der hCG-Verabreichung oder Störungen der Follikelreifung. Das Syndrom ist selten (<7%), die Häufigkeit steigt jedoch mit dem Alter.
Follikelgröße und Eisprung: Häufige Fragen und wissenschaftliche Erkenntnisse
Die Größe eines Follikels ist ein entscheidender Indikator für seine Reife und die bevorstehende Ovulation. Insbesondere die Frage, wann der Eisprung bei einem Follikel von 23 mm stattfindet, beschäftigt viele Frauen im Rahmen ihrer Familienplanung.
Was bedeutet ein 23 mm Follikel?
Ein Follikel von 23 mm Größe wird allgemein als sehr gut entwickelt und reif angesehen. In einem natürlichen Zyklus deutet diese Größe darauf hin, dass der Eisprung in den nächsten 24 bis 48 Stunden erfolgen wird. Bei der Verwendung von Ovulationstests ist es möglich, dass diese noch keinen LH-Anstieg anzeigen, da dieser kurz vor dem Eisprung stattfindet.
Follikelgröße und Schwangerschaftschancen bei Stimulation
Studien haben gezeigt, dass die Follikelgröße einen Einfluss auf die Schwangerschaftsrate hat, insbesondere bei Behandlungen mit Clomifen oder Letrozol.
- Bei der Stimulation mit Clomifen sind Follikelgrößen zwischen 18 und 22 mm am optimalsten für eine Schwangerschaftsrate von 13,6-18,6%. Größere oder kleinere Follikel zeigen geringere Raten.
- Bei Inseminationen, die ebenfalls oft mit Clomifen oder Letrozol stimuliert werden, liegt die höchste Wahrscheinlichkeit für eine Schwangerschaft, wenn der Leitfollikel bei Auslösen des Eisprungs 21 bis 22 Millimeter groß ist.

Wenn ein 23 mm großer Follikel vorhanden ist und ein Auslöser wie hCG verabreicht wird, ist der Eisprung sehr wahrscheinlich und das Risiko, dass sich der Follikel in eine Zyste umwandelt, wird minimiert. Der Eisprung findet dann typischerweise 36-40 Stunden nach der Auslösespritze statt.
Follikelwachstum und Zyklustag
Das Wachstum von Follikeln zu Beginn des Zyklus ist in der Regel langsamer. Nach der Follikelreifung kann ein Follikel pro Tag etwa 2 mm wachsen. Bei einer Größe von 23 mm ist der Eisprung unmittelbar bevorstehend.
Diagnose von Zysten vs. Follikeln
Die Unterscheidung zwischen einem Follikel und einer Zyste kann mittels Ultraschall erfolgen. Das Vorhandensein von Blut im Follikel, wie manchmal bei einer Größe von 28 mm beobachtet, kann auf verschiedene Faktoren hinweisen und bedarf der ärztlichen Abklärung. Die Verabreichung eines Auslösers wie hCG hilft, die Umwandlung eines reifen Follikels in eine Zyste zu verhindern.
Die Bedeutung der ovariellen Reserve für die Familienplanung
Es ist ratsam, die ovarielle Reserve durch eine einfache Follikelzählung im Rahmen einer gynäkologischen Routineuntersuchung zu ermitteln. Dieses Wissen kann Frauen frühzeitig über ihre Fruchtbarkeit informieren und sie möglicherweise zu einer früheren Familienplanung motivieren, da die Eierstöcke als Organe mit zunehmendem Alter an Leistungsfähigkeit verlieren können.